Menu
Wan Bei General Hospital of Wanbei Coal power Group
您现在的位置: 首页 >健康科普
肱骨骨折
时间:2024-8-30
点击数: 76
字体:
作者:
所属类别 :
称谓

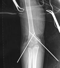
肱骨骨折常发生于肱骨外科颈、肱骨干、肱骨髁上、肱骨髁间、肱骨外髁、肱骨内上髁。其中,尤以前三者为多,可发生于任何年龄,多由直接暴力和间接暴力所引起,如重物撞、

基本信息

  • 西医学名

    肱骨骨折

  • 所属科室

    外科 - 骨科

  • 发病部位

    上臂

 
  • 主要病因

    外伤

  • 传染性

    无传染性

折叠编辑本段基本概述

肱骨骨折常发生于肱骨外科颈、肱骨干、肱骨髁上、肱骨髁间、肱骨外髁、肱骨内上髁。其中,尤以前三者为多,可发生于任何年龄,多由直接暴力和间接暴力所引起,如重物撞、

挤压、打击及扑倒时,手或肘部着地,暴力经前臂或肘部传至各部位。X线检查可明确诊断,并提示骨折的类型。

中医将肱骨骨折归入“伤骨”范畴,认为本病因多外伤引起脉络受损,气血凝滞,营血离经,阻塞经络而致。肱骨骨折肱骨骨折

折叠编辑本段临床表现

肱骨骨折的临床表现主要为肱骨外科颈骨折,局部常出现瘀斑,左上臂纵轴叩击时。

骨折处有锐角,患肢较健侧略短,可出现畸形骨擦音。

肱骨干骨折:患臂肿痛较剧,有明显的压痛,不能握拳,功能丧失,患者常将前臂依附于胸壁。

肱骨髁上骨折:肘部肿胀疼痛,甚至出现张力性水疱,肩部压痛甚剧,肘关节功能丧失,骨折部位有异常活动和骨擦音。

折叠编辑本段辨证分型

分二期。①前期:局部肿胀,气血凝滞,经络受阻,气血不畅,疼痛难忍。⑦中后期:骨痂形成,肿胀消退,但肝肾亏损0气机不畅。

折叠编辑本段养生保健

1.药物法①可应用活血化瘀的中药,如丹参、三七、制乳香、制没药、地鳖虫、红花。再随证分期选用中药,如骨折中后期选用续断、仙茅、熟地、骨碎补、生白术、补骨脂、当归、陈皮、淫羊藿;如体弱者加当归、黄芪。②中成药选用七厘散、夺命丹、正骨紫金丹。③有止痛作用的单味中药有川、草乌、威灵仙、五加皮、制南星。

2.外治法 ①落得打12克,伸筋草12克,桑寄生9克,红花5克,全当归9克,桂枝3克,草乌9克,独活9克,研成粉末,将药装入纱布袋内扎好,放人锅内煮沸后稍待冷却用毛巾浸后敷于患处。每次15-20分钟,每日2次。②骨折早期外敷断骨丹,中后期外敷接骨丹。可有补肝肾,强筋骨之效。

3.药慰法①荆芥9克,防风6克,黄柏6克,当归6克,苦参6克,川芎5克,丹参

6克,川椒1.5克,松木9克,杜仲9克,松节9克,樟脑3克,黄酒l小杯,水煎后敷。有温经通络.活血止痛的作用。②解除固定后可用生姜50克,带根葱5根或花椒3克。煎水熏洗患处;也可用海桐皮清洗患处,有温经通脉之效。

4.针灸法 ①体针:取肩偶、肩贞、肩内陵、曲池、臂膳、手三里,中等刺激,留针15—30分钟,可加用艾灸法。有温经通络,松解粘连的作用。②耳针:取脑、神门,捻转手法,留针30分钟;或埋针后用胶布固定,嘱患者每隔l-2小时自行按压1分钟,以维持针感。有活血止痛之效。

5.整复穗对有移位的肱骨外科颈骨折:患者仰卧,肘关节屈至900,前臂中立位,肩关节外展45度(外展型)或70度(内收型),前展300,在局麻下,用一宽布带绕过患侧腋窝,将布带两端系在墙钩上或头侧的床架上,在布带中闯用一木块支撑,以免布带钳夹胸廓,助手双手分别握住患肢肘部和腕部,沿患肢纵轴方向进行拔伸牵引。以矫正缩短移位和旋转移位。

肱骨干骨折:医生一手拇指按压住向内移动的骨折近端的内侧,另一手拇指按压住向外移动的骨折远端的外侧,右手同时用力,将远近两段突起的骨折按压平复。

肱骨髁上骨折:一般用宽布带绕过患侧腋下,两端经胸前,背后固定于健侧手术台头端或墙钩上。宽布带的两端用短木板撑开。

助手两手分别握住患肢前臂远端及肘窝下方,沿着患肘上臂的纵横方向拔伸,医生用两拇指在患肢肘前顶住骨折远段的前方向下按压,并向前方端提,同时助手将患肢肘关节伸展到60度左右即可,于此同时将患肢肘关节屈曲至90度固定。

6.食疗法 ①牛骨髓150克。面粉500克炒香,鸡蛋壳100克焙干研末,黑芝麻250 克炒香,砂糖250克研细,共和匀。每日取2匙用开水冲调食。用于肾虚肢体畏冷者。②黄芪20克,红枣5枚,煮汤代茶,或取汁代水煮饭烧粥均可。用于体质素虚的骨折迟缓愈合者。如易感冒者,加防风5克,煮汤代茶。③板栗300克(去壳取肉),嫩草母鸡1只(剖杀洗净切块),加酱油、黄酒、糖,焖至鸡酥栗糯,分数次佐餐食之。用于脾肾两虚者。④狗肉500克(浸泡后捶松,边捶边洗至白永净,沥干),草母鸡300克,猪肘150克,加水,焖煮至鸡、猪肘酥烂时,入枸杞子15克,天冬10克,熟地10克,甘草3克,再蒸至狗肉软烂人调味,酌量取食。用于畏寒乏力,腰酸膝弱,体虚食少者。

【按语】

整复肱骨干骨折时,拔伸牵引力不宜过大。否则易引起断端分离移位。肱骨干中1/3骨折是迟缓愈合和不愈合的好发部位,固定时间应适当延长,经X线复查见有足够骨囊生长才能解除,早期进行功能锻炼。外科曩骨折后手臂见大片皮下瘀斑,沿前臂和侧胸壁局部热敷有助于瘀斑消散。功能锻炼极为重要,老年人即使断端对位欠佳,如积极练功,以后肩关节功能仍可良好;肱骨外髁骨折恢复的过程中,应间隔一定时间测量屈伸程度有否增加,稍有增加即为有效。儿童骨折愈合后到成年阶段,要注意有否小指麻木、手指无力等迟发尺神经损伤的证候,出现有关证候应及时处理,如作尺神经前置术等。