Menu
Wan Bei General Hospital of Wanbei Coal power Group
您现在的位置: 首页 >科室动态
宿州一五旬男子头疼,视线模糊竟是因为......
时间:2025-8-15
点击数: 690
字体:
作者:

“看东西越来越模糊,连报纸上的字都快看不清了,头也痛.....”55 岁的王先生(化名)怎么也没想到,这几天的不适,竟是因为脑中藏了一颗压迫视神经的巨大垂体瘤。

图片

持续几天的视线模糊,严重影响了王先生的日常生活。为了尽快解决这个问题,他急忙赶到皖北煤电集团总医院东区——宿州心脑血管病医院就诊(以下简称“宿州心脑血管病医院”)神经外科三病区就诊。

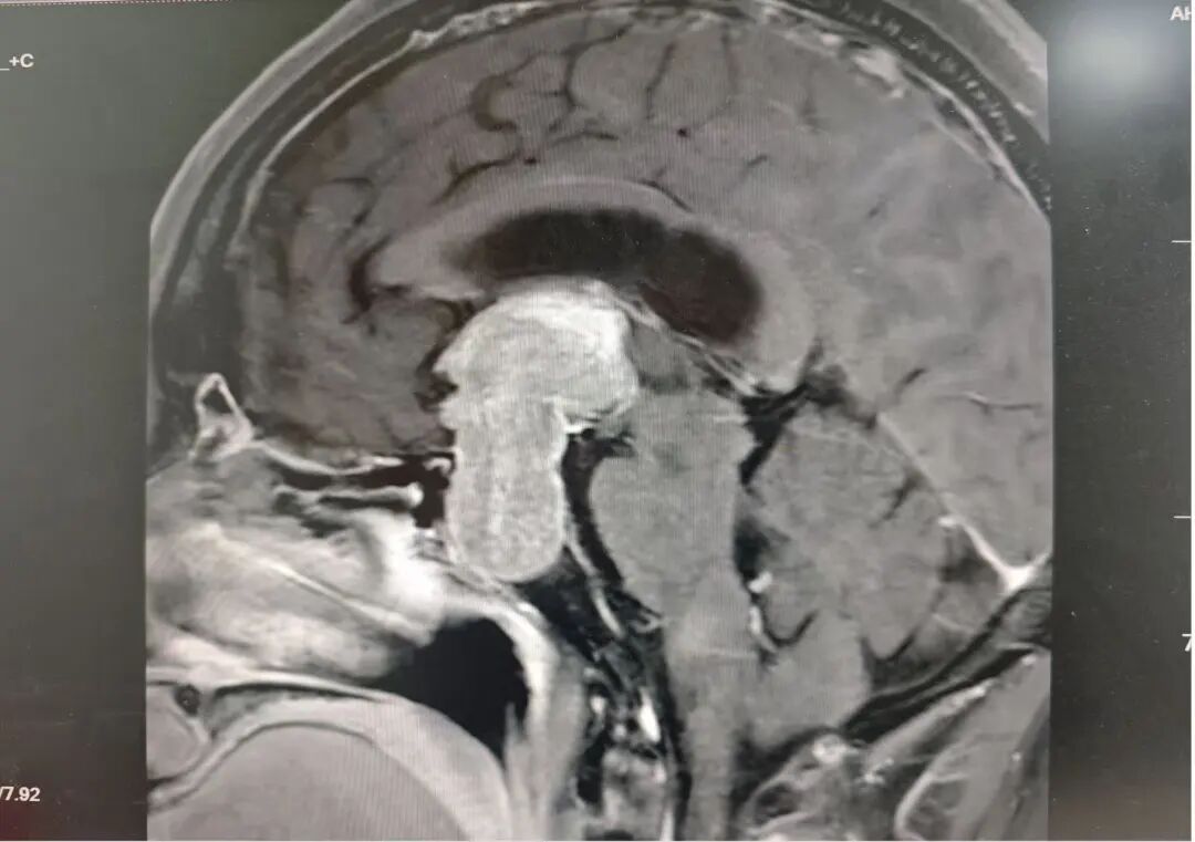
神经外科三病区陆路副主任医师接诊后立即为王先生完善了相关检查,检查显示王先生的鞍区占位体积巨大,鞍区垂体瘤。这也是导致王先生头痛,视线模糊的罪魁祸首。

图片
图片

“患者颅内占位体积很大,需要尽快进行手术!”陆主任在与家属沟通时表示。

王先生及其家属了解清楚病情后,立即同意进行手术。

为了确保手术能够顺利进行,陆主任组织科内专家与麻醉科、影像科、手术室护理团队针对王先生的情况进行多学科会诊。

在进行手术前,陆主任在查房时发现王先生的情绪不是很高,对于手术治疗还是很紧张,便解释道:“我们确定的手术方案是‘神经内镜下经鼻腔-蝶窦垂体病损切除术’,就是利用神经内镜技术,经鼻腔入路切除肿瘤,与传统的开颅手术相比创伤小、安全性更高。王先生你也不用太紧张,手术属于是微创手术的一种。”

完善术前准备后,王先生被送进手术室。术中,陆主任先去除患者右侧鼻腔中鼻甲,在蝶窦开口旁用等离子刀清除部分鼻中隔粘膜开窗,磨除部分骨性鼻中隔,对侧鼻中隔粘膜一并去除,双鼻腔通路操作,沿通道到鞍底肿瘤位置,电凝后切开鞍底硬膜,取少量肿瘤组织送检病理后,再利用环形刮勺并吸引逐步清除肿瘤,严密止血后,取脑膜补片填塞修补鞍底。整个手术历时 3 小时,肿瘤被完整切除,且术中出血少、创伤小,大大降低了传统开颅手术可能带来的风险。

术后,王先生转入普通病房,头痛的症状也有了明显的缓解,视线模糊的情况也开始在逐步恢复。

科普时间

垂体是位于大脑底部、在鼻子后面深处的一个豆粒大小的器官,虽然垂体很小,但它对人体的影响却很大!它通过分泌多种激素,参与调节人体很多功能。

而垂体瘤是指发生在垂体上的肿瘤。根据是否分泌激素,可以将其分为功能性垂体瘤(分泌激素)和非功能性垂体瘤(不分泌激素)。

功能性垂体瘤能够分泌过多的激素,导致一系列内分泌症状;而无功能性垂体瘤则不分泌激素,但随着肿瘤的生长,可能会对周围组织造成压迫,引发一系列症状。

图片

垂体瘤典型的症状包括:

头痛:主要表现为眼眶疼痛,以及双侧颞部(太阳穴)疼痛,区别于一般的神经性头痛和血管性头痛

视野缺损及视力下降:严重者只能直视,眼睛两边看不到“余光”。

内分泌代谢紊乱:面色灰暗、四肢无力,女性月经不调或停经、泌乳、不孕;男性掉胡须、阴毛腋毛脱落、性功能障碍、不育等。

垂体瘤卒中:急性发病的危重症,当垂体瘤出血时,可迅速出现剧烈头痛、失明、恶心呕吐、精神萎靡、电解质紊乱、昏迷等。

···THE END···

免责声明:本文仅作为健康科普及医院新闻发布,不用于任何商业广告目的,且不提供诊疗建议,也不能替代医院的检查和治疗。如有相关疾病,请及时去正规医疗机构就诊,谨遵医嘱。

部分图文素材来源于网络,如若涉及侵权请联系我们删除。