Menu
Wan Bei General Hospital of Wanbei Coal power Group
您现在的位置: 首页 >科室动态
微创让一根“会拐弯的镜子”终结患者五年肾囊肿困扰!
时间:2025-9-25
点击数: 136
字体:
作者:

“真没想到这个手术做完,我第二天就能下床......”

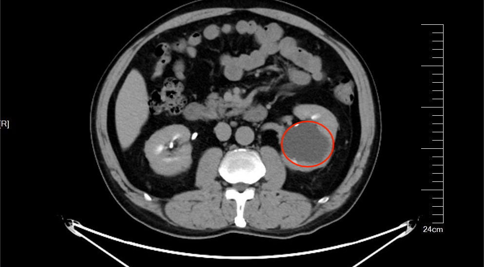
家住宿州的刘先生(化名)五年前体检时查出左肾患有囊肿,随着时间的流逝,这几年他的囊肿越长越大,开始出现腹部疼痛的问题。他急忙赶到皖北煤电集团总医院(以下简称“皖北总院”)泌尿外科就诊。

郭绍永副主任医师了解完刘先生的病情后,为其完善了相关检查。

明确刘先生目前囊肿的位置和大小,并进行详细的综合评估,最终决定为患者实施左输尿管软镜下钬激光肾盂囊肿开窗术。

“肾盂旁囊肿位置特殊,紧邻肾脏集合系统和重要血管,传统腹腔镜手术容易损伤周围结构,风险较高。”郭主任介绍道“现在我们决定为刘先生实施左输尿管软镜下钬激光肾盂囊肿开窗术,是利用人体自然腔道,将一根极细的软镜经尿道、膀胱逆流而上进入输尿管和肾脏,再以钬激光精准切开囊肿壁,实现内引流,相当于在囊肿和肾盂之间‘搭一座桥’。这就像‘倒着走迷宫’,全程没有切口,近乎零出血。”

在刘先生及其家属的同意下,郭主任为其实施了手术。

术后第二天,刘先生已能自如下床活动,复查显示囊肿完全消失,腰部不适也随之解除。“真没想到这么快就能好,身上连个疤都没有!”刘先生欣喜地说。

医生有话说

皖北总院泌尿外科专家表示:

尽管肾囊肿多数为良性病变,较小的肾囊肿无需手术,但如果肾囊肿较大而挤压肾脏,导致肾脏、输尿管形态异常,引起肾积水、肾功能损害、压迫肾蒂血管引起高血压,则需要及时手术治疗。

除上述的肾盂旁囊肿外,其他类型的单纯性肾囊肿,如果未内生型、距离肾集合系统较近,也可以行输尿管软镜下囊肿内切开术。

另外,多囊肾为家族遗传病,多为常染色体显性遗传。患者双肾布满大小不一的囊肿,肾盂肾盏变形、甚至囊性化,有时合并出血及感染,并逐渐出现肾功能异常,直至尿毒症。对于较大的肾囊肿(直径>4cm)行腹腔镜下肾囊肿去顶术有助于延缓疾病发展。

如果肾囊肿内出现分隔、钙化、囊壁增厚、结节形成甚至肿物,则应考虑恶性的可能,需尽快手术治疗。

···THE END···

免责声明:本文仅作为健康科普及医院新闻发布,不用于任何商业广告目的,且不提供诊疗建议,也不能替代医院的检查和治疗。如有相关疾病,请及时去正规医疗机构就诊,谨遵医嘱。

部分图文素材来源于网络,如若涉及侵权请联系我们删除。