Menu
Wan Bei General Hospital of Wanbei Coal power Group
您现在的位置: 首页 > 科室新闻
【医者仁心】皖北总院泌尿外科成功手术治疗两例巨大肾癌患者——为这个团队点赞
时间:2021-7-10
点击数: 1564
字体:
来源:李虎

【医者仁心】皖北总院泌尿外科成功手术治疗两例巨大肾癌患者——为这个团队点赞

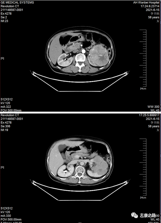
  近日皖北总院泌尿外科团队成功为2名肾癌患者实施手术治疗。此2名患者为其中一名为中年男性,一名为老年女性,皆因体检发现肾占位入住皖北总院泌尿外科,入院后完善相关检查。

(术前CT检查)

  其中一名患者术前影像学检查提示肾癌直径大于10公分;另一名患者肾癌直径大于7公分,均属于巨大肾癌,因体积巨大,后腹腔操作空间狭小,手术难度较大。经过科内的充分讨论分析及与病理科科、影像科等相关科室多学科联合会诊,制定了详细的治疗方案及手术风险的解决措施,各专科主任各抒己见,这2名患者需手术治疗,考虑肾癌的可能性较大。科主任李虎指出:患者肾癌体积较大,手术难度较大,术前充分与患者沟通手术风险,拟对此2名患者实施腹腔镜下肾根治性切除术。

(术前MDT会诊)

  制定完手术方案,李主任携团队为患者实行了“腹腔镜下肾根治性切除术”成功将肾脏及肿瘤完整切除术,术中出血较少,其中一例出血量仅为30ml;另一例出血量仅为50ml,手术顺利。术后第二天无明显不适,患者处于恢复中,近日即将出院。

(手术照片)

(标本1)

(标本2)

  李虎主任术后指出:这2名患者肿瘤体积均较大,分期较晚,后腹腔空间狭小,手术难度较大,庆幸的是我们顺利的使用腹腔镜技术将巨大肾肿瘤完整切除,刷新了宿州市微创切除肾癌体积大小的记录,表明我院泌尿外科在肿瘤的微创治疗领域再攀高峰,也必将以全新的姿态继续造福皖北地区人民!


李虎主任简介



END