Menu
Wan Bei General Hospital of Wanbei Coal power Group
您现在的位置: 首页 > 公告
子宫动脉栓塞术(UAE)治疗子宫肌瘤疗效显著
时间:2021-8-5
点击数: 4071
字体:
来源:高松学
病史
患者杨某,女性,46岁,已婚。因“查体发现子宫肌瘤5年,经期延长伴尿频4个月”于2018.07.04入院。

现病史

患者既往月经规则,4/28天,量中等,无明显痛经,末次月经:2018.06.12,量色同既往月经。患者于5年前体检发现子宫肌瘤,无经量增多、经期延长,无尿频、便秘等压迫症状,定期随访,子宫肌瘤逐渐增大。4个月前出现经期延长,由原来的4天延长至7天,伴尿频,无尿急、尿痛,未治疗,现为进一步诊治,遂入我院。


既往史

月经史:患者既往月经规则,4/28天,量中等,无血块及痛经,末次月经:2018.06.12,量色同既往月经。

婚育史:已婚已育,2-0-2-2。

既往(妇科)手术史:否认既往手术史。


妇科检查

外阴、阴道、宫颈:未见明显异常;

子宫:前位,增大如孕近4个月大,形状不规则,活动度可,无压痛;

双侧附件:未见明显异常。


术前实验室检查

1. 血常规:HB 109g/L

2. 凝血功能:无特殊

3. 肝肾功能:无特殊

4. 尿常规:无特殊


术前影像学检查

1. 妇科超声:子宫体积增大,形态不规则,内膜厚约0.5cm,肌壁间探及八余枚低回声,部分轻度推移内膜,大者7.9×6.1cm(后壁)、5.0×3.9cm(左侧壁)、4.8×3.8cm(左侧壁)、3.2×3.0cm(前壁),均边界清,内部回声不均,CDFI:边缘可见血流信号绕行,内部可见少量血流。余肌壁回声尚均匀。双侧卵巢可见,内未见异常回声。双侧附件区可显示部分未见明确囊实包块。

2. 盆腔增强(3T):子宫形态不规则,浆膜下、肌层及粘膜下多发(10枚左右)类圆形结节、肿块影,大部分呈等T1短T2信号影,最大者呈等T1略长T2信号,大小约7.9×7.0cm,其内信号不均,增强扫描轻-中度不均匀强化,相邻宫腔受压变形。宫颈部多发小囊样异常信号,大者约0.6cm,无明显强化。阴道未见明显异常。膀胱充盈尚可,壁不厚。直肠抠未见异常改变。盆腔内未见明显肿大淋巴结影。

诊断:1.多发子宫肌瘤。2.盆腔积液,少量。

图片

MRI显示:子宫多发肌瘤


诊断

子宫肌瘤


MDT意见

外科治疗:子宫肌瘤剥除术或子宫切除术患者拒绝。

介入治疗:行子宫动脉栓塞治疗风险小,创伤小,可尝试作为治疗方案。


介入治疗方案

手术时间:2018.07.06

手术名称:双侧子宫动脉栓塞术

栓塞方式:单一栓塞

栓塞材料:8Spheres(500-700μm)10瓶

右侧视频


左侧视频


术后6月实验室检查

血常规:HB 116g/l

凝血功能:无特殊


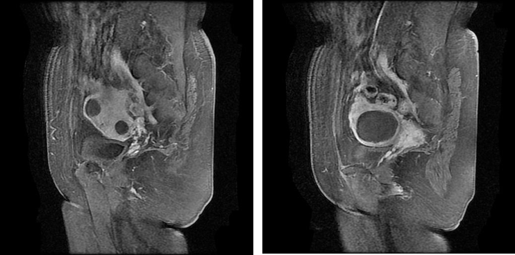
术后6月影像学检查(2019.1.9)

妇科超声:子宫体积增大,形态不规则,内膜厚约1.1cm,肌壁间探及七八余枚低回声,部分轻度推移内膜,大者3.1×2.7cm(后壁)、4.8×4.1cm(左侧壁),均边界清,内部回声不均,周边均可见环状强回声。CDFI:周边可见少量血流信号,内部未见明显血流信号。余肌壁回声尚均匀。双侧卵巢可见,内未见异常回声。左侧卵巢探及囊性无回声,大小约2.8×1.7cm,壁薄,内透声可。右侧区可显示部分未见明确囊实包块。盆腔未探及游离液性暗区。诊断:子宫多发肌瘤(可见环状钙化),左侧卵巢小囊肿。

图片

* MRI显示:MRI显示:子宫形态不规则,大小约10.7×8.9×6.9cm,浆膜下、肌层及粘膜下多发(10枚左右)类圆形结节、肿块影,大部分呈等T1T2信号影,最大者位于子宫体左侧部,大小约6.3×4.2cm,增强扫描未见明显强化。相邻宫腔受压变形。颈部多发小囊样异常信号,大者直径约0.6cm,无明显强化。



S
UMMARY
  小  结

该患者因子宫肌瘤增大压迫膀胱引起尿频、尿急等不适,药物治疗效果欠佳,拒绝外科手术,经介入栓塞后症状显著改善,生活质量明显提高。
UAE治疗子宫肌瘤已被越来越多的临床医生和患者接受,不仅能实现保留子宫,而且改善尿频、月经量增多等症状的疗效确切,且安全性好、并发症少、创伤小、恢复快等优势。
术前要做MRA进行充分评估,尤其注意侧支循环,在可能的情况下进行子宫肌瘤供血动脉支超选择性栓塞。